МОРФОЛОГИЧЕСКОЕ ИССЛЕДОВАНИЕ
За изучаемый
период времени произведено 543 морфологических исследований операционного
материала и биоптатов ПЖ и метастатических очагов.
Характер
материала, подвергшегося морфологическому исследованию, представлен в табл.
4.7.1.
Таблица
4.7.1
Мозаика морфологического материала
|
Вариант забора |
Материал |
Количество (абс.) |
|
Пункционная биопсия под сонографическим
контролем |
Очаговое
образование ПЖ |
117 |
|
Очаговое
образование печени |
187 |
|
|
Лимфатические
узлы |
36 |
|
|
Операционный материал |
Блок органов (ПЖ, ДПК, лимфатические
узлы) |
79 |
|
Блок органов + смежный орган и/или
резецированные участки сосудов |
87 |
|
|
Очаговые образования печени |
37 |
Под
сонографическим контролем при подозрении на новообразование ПЖ пункционный
материал взят в 340 случаях. Пункционная биопсия объемных образований
выполнялась под местной или общей анестезией (рис. 4.7.1). После выбора
траектории пункции и обработки операционного поля, под непрерывным УЗ-контролем
выполняется послойная инфильтрация тканей раствором анестетика.

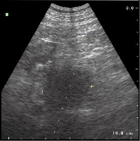
Рис. 4.7.1. Б-ной С. Диагноз: Опухоль головки ПЖ. ТАУЗИ, косое продольное сканирование, биопсия. (ткань опухоли головки ПЖ; ДПК; раектория иглы).
Для
выполнения процедуры использовалась автоматическая система для забора
биопсийного материала PRO-MAG 2.2 (USA) и иглы «Tru-Сut» №14-18 с глубиной выстрела 22 мм. Кратность забора
материала колебалась в пределах 3-10 раз.
Материал, достаточный
для определения характера процесса, был получен в 95% случаев. В случаях, когда
категоричное заключение сделать было невозможно, патоморфологическое заключение
носило предположительный характер.
Предположительные
заключения о раке поджелудочной железы были обусловлены недостаточным
количеством паренхиматозных элементов в биоптате, что чаще наблюдается при
скиррозной форме рака. Гиперпластические и дисрегенераторные изменения эпителия
при хроническом панкреатите в сочетании с склерозом, лимфогистиоцитарной
инфильтрацией и атрофическими изменениями ацинусов также затрудняли оценку
гистологической картины.
Точность
пункционной биопсии в диагностике опухолевого процесса составила 90,41%,
чувствительность 76,7 % и специфичность 100% (Понкина О.Н., Новиков С.В.,
Катрич А.Н., 2004). Указание
патоморфолога на неудачное взятие материала помогало избежать неправильной
трактовки гистологических данных. Основные трудности возникали при трактовке
протоковой метаплазии ацинусов в биоптатах поджелудочной железы при хроническом
панкреатите, ввиду её морфологической схожести с тубулярной аденокарциномой с
фиброзной стромой, а островковые пролифераты в рубцах при хроническом
панкреатите могут быть ошибочно оценены как компоненты инкреторной
аденомы.
Обязательным условием
качественного проведения морфологического исследования являлось правильное
оформление сопроводительных документов с указанием клинического диагноза,
точной локализации процесса, анамнестических данных.
Морфологическое
исследование операционного материала выполнено 203 пациентам, подвергшимся
радикальным резекциям опухоли ПЖ или взятого из патологических очагов при
лапаротомии.
С
результатами гистологического исследования производилось сопоставление
диагностической информации дооперационных инструментальных методов исследования
у каждого пациента.
Краснодар - Москва - 2008 г.
· Новиков С.В.
· кмн, врач-хирург высшей категории, врач УЗД,
· специалист по минимально инвазивным хирургическим вмешательствам под
контролем ультразвука
· НИИ
СП им.Н.В.Склифосовского, г.Москва